16 年
手机商铺
公司新闻/正文
316 人阅读发布时间:2025-01-24 14:05
β淀粉样蛋白(Amyloid Beta Protein,Aβ)是阿尔茨海默病患者大脑中淀粉样斑块的主要成分,Aβ已被证明会聚集成寡聚体和原纤维的形式,从而导致疾病进展。
β淀粉样蛋白聚集机制(DOI: 10.3109/03602532.2014.882354)
StressMarq提供β淀粉样蛋白1-42寡聚体用于神经退行性疾病研究
产品介绍:
|
名称 |
Human Synthetic Amyloid Beta 1-42 Oligomers |
|
货号 |
SPR-488 |
|
应用 |
WB, In vivo Assay, In vitro Assay |
|
浓度 |
1 mg/ml |
|
偶联物 |
No tag |
|
种属 |
Human |
|
氨基酸序列 |
DAEFRHDSGYEVHHQKLVFFAEDVGSNKGAIIGLMVGGVVIA |
|
纯度 |
>95% |
|
蛋白长度 |
42个氨基酸 |
|
蛋白大小 |
4.5 KDa |
产品图片:
1、β淀粉样1-42单体(SPR-485,左)、寡聚体(SPR-488,中)和原纤维(SPR-487,右)的透射电子显微镜图像。使用磷钨酸和醋酸铀染色在80Kv下在碳涂层400 mesh copper grids上获得的负染色透射电子显微镜图像。比例尺=100 nm。
2、β淀粉样1-42单体(SPR-485,左)、寡聚体(SPR-488,中)和原纤维(SPR-487,右)的原子力显微镜图像。下图为2.5 x 2.5 µm x-y,z范围为10 nm。
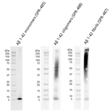
3、使用Aβ抗体6E10对β淀粉样1-42单体(SPR-485,左)、寡聚体(SPR-488,中)和原纤维(SPR-487,右)进行Western印迹。在TEM/AFM下观察到的寡聚体(SPR-488)的Western印迹上显示出明显的约37-75 kDa 的二聚体/三聚体条带。
4、β淀粉样蛋白1-42寡聚体(SPR-488)和原纤维(SPR-487)对原代大鼠皮质神经元具有剂量依赖性毒性,而单体(SPR-485)没有毒性。大鼠原代皮层神经元用不同浓度的 (A) 单体、(B) 寡聚体和 (C) 原纤维处理14天后的存活率,由MAP2阳性神经元量化并表示为对照的百分比(空白对照设为100%)。§代表未经处理的对照条件。
5、人iPSC衍生的小胶质细胞摄取Phrodo标记的β淀粉样蛋白1-42寡聚体(SPR-488)。来自reMYND(Leuven, 比利时)使用 Ex560 Em585 进行活细胞成像。
相关产品:
|
产品名称 |
货号 |
适用种属 |
应用 |
|
淀粉样蛋白寡聚体 (A11) 抗体 |
SPC-506 |
Eukaryote,Human,Mouse,Rat |
WB,IHC,ICC/IF, IP, ELISA |
|
淀粉样原纤维 (OC) 抗体 |
SPC-507 |
Human |
WB,IHC,ICC/IF,IP,ELISA,DB |
|
β淀粉样蛋白1-42 寡聚体抗体 |
SMC-618 |
Human |
WB, ELISA |
|
β淀粉样蛋白1-42 寡聚体抗体 |
SMC-619 |
Human |
WB, ELISA |
|
β淀粉样蛋白1-42 寡聚体抗体 |
SMC-620 |
Human |
WB, ELISA |

如需了解更多详细信息或相关产品,请联系StressMarq中国授权代理商-欣博盛生物
全国服务热线: 4006-800-892 邮箱: market@neobioscience.com
深圳: 0755-26755892 北京: 010-88594029
上海: 021-34613729 广州: 020-87615159
代理品牌网站: www.neobioscience.com
自主品牌网站: www.neobioscience.net