16 年
手机商铺
公司新闻/正文
132 人阅读发布时间:2024-10-28 14:35
Max interactor 1, dimerization protein (MXI1)基因直接受神经母细胞瘤和乳腺癌细胞中HIF-1α蛋白的调节。数据显示PTEN和MXI1是10q23和10q24-q25上的两个候选肿瘤抑制基因,可能参与前列腺癌的发生和发展。
产品详情:
别名:bHLHc11, MAD2, MXD2, MXI
类型:多克隆抗体
来源:Rabbit IgG
应用:IHC, WB
反应种属:human
免疫原:Recombinant Protein Epitope Signature Tag (PrEST) antigen sequence: HTTLGLLNKAKAHIKKLEEAERKSQHQLENLEREQRFLKWRLEQLQGPQEMERIRM
缓冲液组成:40% glycerol and PBS (pH 7.2). 0.02% sodium azide is added as preservative.
应用实例:

Immunohistochemical staining of human testis shows moderate to strong nuclear positivity in cells in seminiferous ducts.

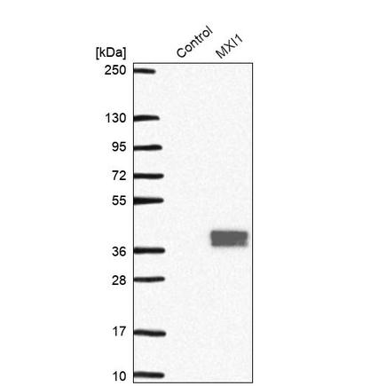
WB analysis in control (vector only transfected HEK293T lysate) and MIX-1 over-expression lysate (Co-expressed with a C-terminal myc-DDK tag in mammalian HEK293T cells.
订购信息:
|
产品名称 |
货号 |
规格 |
|
Anti-MXI1 Antibody |
HPA035319 |
100ul |
更多详情请联系Atlas Antibodies中国授权代理商欣博盛生物
全国服务热线: 4006-800-892 邮箱: market@neobioscience.com
深圳: 0755-26755892 北京: 010-88594029
上海: 021-34613729 广州:18024516375
代理品牌网站: www.neobioscience.com
自主品牌网站: www.neobioscience.net