深圳欣博盛生物科技有限公司品牌商

16

手机商铺

qrcode
商家活跃:
产品热度:
  • NaN
  • 0
  • 0
  • 2
  • 2
文献支持
Vector® TrueVIEW® Autofluorescence Quenching Kit /自发荧光淬灭试剂盒
¥2672
品牌商

深圳欣博盛生物科技有限公司

入驻年限:16

  • 联系人:

    欣博盛市场部

  • 所在地区:

    广东 深圳市 福田区

  • 业务范围:

    试剂、技术服务、耗材

  • 经营模式:

    生产厂商 代理商

在线沟通

公司新闻/正文

高分SCI文章@你—Vector True VIEW™ Kit带你飞

337 人阅读发布时间:2024-08-19 16:51

在免疫组化检测过程中,许多样本组织会产生可通过各种波长滤光片的组织内源性自发荧光,干扰抗体标记的目的蛋白荧光的观察,甚至导致实验失败。为了解决免疫组化实验中的自发荧光,VectorLabs公司专门开发了一款Vector® True VIEW™ Autofluorescence Quenching Kit试剂盒,该产品旨在去除组织切片中由于醛固定、红细胞以及胶原蛋白/弹性蛋白结构造成的自发荧光。该试剂使用方便,无需稀释操作,为即用型试剂。 该试剂盒中含有防自发荧光效果excellent的VECTASHIELD Vibrance Antifade Mounting Media 封片剂(含或不含DAPI两种)。客户无需单独购买封片剂,经济、实用。

注意:该试剂盒对脂褐素造成的组织自发荧光无效。

 

● 试剂盒组成: 

a. Vector®TrueVIEW™ Reagent A 5ml b. Vector®TrueVIEW™ Reagent B 5ml c. Vector®TrueVIEW™ Reagent C 5ml d. VECTASHIELD Vibrance Antifade Mounting Media 2ml e. VECTASHIELD Vibrance Antifade  Mounting Media with DAPI 2ml

其中,货号SP-8400包含a,b,c,d四个组分;货号SP-8500包含a,b,c,e四个组分

 

● 产品使用方法:

揭秘:防止组织自发荧光“轻骑兵”——Vector True VIEW™ Kit快速获得高质量图片  将ReagentA、B、C以1:1:1的比例混合。(注意混合顺序,先将A和B以1:1比例混合10s,再加入C,混匀10s) 揭秘:防止组织自发荧光“轻骑兵”——Vector True VIEW™ Kit快速获得高质量图片 
揭秘:防止组织自发荧光“轻骑兵”——Vector True VIEW™ Kit快速获得高质量图片  将混好后的TrueView试剂滴加到组织样本切片上,将样本完全覆盖,孵育2-5min 揭秘:防止组织自发荧光“轻骑兵”——Vector True VIEW™ Kit快速获得高质量图片 
揭秘:防止组织自发荧光“轻骑兵”——Vector True VIEW™ Kit快速获得高质量图片  使用PBS缓冲液洗片5次,除去多余缓冲液,VECTASHIELD Vibrance Media封片后观察 揭秘:防止组织自发荧光“轻骑兵”——Vector True VIEW™ Kit快速获得高质量图片 

● 产品特征 

A 显著降低背景染色并保留特异性抗原染色; B 提高信噪比; C 产品稳定,储存在滴瓶中,使用方便; D 操作简单,快速;整个染色过程仅需2-5min; E 为使用者提供清晰、明确、真实的染色结果; F 适用于多种荧光染料的自发荧光去除,包括Alexa488,Alexa 594,DyLight 488,DyLight 594,FITC,Cyanine 5和GFP;

G SP-8500试剂盒中的封片剂中DAPI浓度较高,可对细胞核进行清晰的染色。

 

● 产品对自发荧光淬灭效果:

◆ 右图为经Vector®TrueVIEW™kit处理后,人肾脏组织切片中自发荧光淬灭的百分比与处理时间之间的关系。 ◆ Note:2分钟内即可达到最大淬灭效果。 揭秘:防止组织自发荧光“轻骑兵”——Vector True VIEW™ Kit快速获得高质量图片 

 

● 产品应用举例:  

> 案例一

未经任何处理 使用Vector®TrueVIEW™处理
揭秘:防止组织自发荧光“轻骑兵”——Vector True VIEW™ Kit快速获得高质量图片 揭秘:防止组织自发荧光“轻骑兵”——Vector True VIEW™ Kit快速获得高质量图片
◆ 上图为人脾脏组织染色结果:使用VectaFluor TM Duet试剂盒(DK-8818)检测的mouse anti-CD20(red)和rabbit anti-Ki67(green)对人脾组织切片的染色。 ◆ 左图为未经任何处理的染色结果, ◆ 右图为使用TrueVIEW™Autofluorescence Quenching试剂盒染色结果。于未经处理的染色结果相比,经TrueVIEW™Autofluorescence Quenching试剂盒处理后,自发荧光显著减少。

 

> 案例二

揭秘:防止组织自发荧光“轻骑兵”——Vector True VIEW™ Kit快速获得高质量图片  ◆ A-D图为人肾脏切片(石蜡切片)染色结果,实验中使用anti-AE1 /AE3抗体对角蛋白进行染色(绿色)。◆ A图未经处理, ◆ B-D图经TrueVIEW™Quencher Kit处理。自发荧光明显减弱。延长曝光时间,阳性信号强度也随之增强。
揭秘:防止组织自发荧光“轻骑兵”——Vector True VIEW™ Kit快速获得高质量图片  揭秘:防止组织自发荧光“轻骑兵”——Vector True VIEW™ Kit快速获得高质量图片 揭秘:防止组织自发荧光“轻骑兵”——Vector True VIEW™ Kit快速获得高质量图片

 

> 案例三

未经任何处理 使用TrueVIEW Treatment Mounted with Vibrance + 3x DAPI处理

揭秘:防止组织自发荧光“轻骑兵”——Vector True VIEW™ Kit快速获得高质量图片

揭秘:防止组织自发荧光“轻骑兵”——Vector True VIEW™ Kit快速获得高质量图片
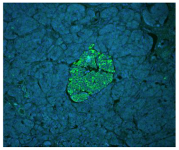
◆ 上图为人胰腺组织染色结果:绿色为insulin的染色。
◆ 左图为未经任何处理的染色结果,
◆ 右图为使用TrueVIEW Treatment Mounted with Vibrance + 3x DAPI(SP-8500)试剂盒染色结果。与未经处理的染色结果相比,经该试剂盒处理后,自发荧光显著减少,核染色显著增强。

 

> 案例四

未经处理(内源性自发荧光)   经TrueVIEW™Quencher Kit处理
揭秘:防止组织自发荧光“轻骑兵”——Vector True VIEW™ Kit快速获得高质量图片 揭秘:防止组织自发荧光“轻骑兵”——Vector True VIEW™ Kit快速获得高质量图片
Company A Company B Company C
揭秘:防止组织自发荧光“轻骑兵”——Vector True VIEW™ Kit快速获得高质量图片 揭秘:防止组织自发荧光“轻骑兵”——Vector True VIEW™ Kit快速获得高质量图片 揭秘:防止组织自发荧光“轻骑兵”——Vector True VIEW™ Kit快速获得高质量图片
Copper Sulfate Solution Sodium Borohydride Sudan Black B
揭秘:防止组织自发荧光“轻骑兵”——Vector True VIEW™ Kit快速获得高质量图片 揭秘:防止组织自发荧光“轻骑兵”——Vector True VIEW™ Kit快速获得高质量图片 揭秘:防止组织自发荧光“轻骑兵”——Vector True VIEW™ Kit快速获得高质量图片

 

● 产品订购信息 Vector® True VIEW™ Autofluorescence Quenching Kit

产品 货号 规格 染色切片数
Vector® True VIEW™
Autofluorescence Quenching Kit
SP-8400 15ml 100-150
Vector® True VIEW™
Autofluorescence Quenching Kit
SP-8500 15ml 100-150
VECTOR TrueVIEW  
Autofluorescence Quenching Kit (3ml)
SP-8403 3ml ~30
VECTASHIELD® HardSet™
Antifade Mounting Medium
H-1400 10ml 100-150
VECTASHIELD® HardSet™
with DPI Antifade Mounting Medium
H-1500 10ml 100-150

 

 

详情请咨询 Vectorlabs 中国总代理- 欣博盛生物科技

全国服务热线: 4006-800-892     邮箱: market@neobioscience.com

深圳: 0755-26755892      北京: 010-88594029      上海: 021-34613729            

广州:18024516375        香港: 852-69410778  

代理品牌网站: www.neobioscience.com

自主品牌网站: www.neobioscience.net

上一篇

您还在为IHC和IF实验中种属间的交叉反应困惑吗?

下一篇

转染效率优于Lipofectamin® 3000的FuGENE® 4K转染试剂

更多资讯

我的询价