16 年
手机商铺
公司新闻/正文
316 人阅读发布时间:2024-05-06 10:50
相对于传统SDS-PAGE制胶工艺,Merck公司的mPAGE® Lux制胶系统是一种更快速、简单、安全的替代方法,可实现更具可重现性的结果。mPAGE® Lux制胶系统可在90秒内完成小型凝胶固化,而传统方法则需要90分钟以上。该系统采用紫外线照射快速制胶工作流程,加速mPAGE® Lux Bis-Tris试剂固化——Bis-Tris凝胶化学试剂相对于传统方法可缩短跑胶时间。

这种一步法光聚合工艺采用精密的系统控制,人为出错的概率更低。mPAGE® 制胶器可防止渗漏,选用的Bis-Tris凝胶比人工制备的Tris-Glycine凝胶条带质量更佳。此外,mPAGE® Lux试剂盒、mPAGE® TurboMix试剂盒和mPAGE® 预制胶均使用Bis-Tris化学试剂,共用同一跑胶缓冲液和凝胶染色剂。mPAGE® Lux制胶系统不使用APS或TEMED,有毒化学品用量更小,是一种更安全的替代方法。
传统人工制胶工作流程

mPAGE® Lux工作流程

图1. 传统制胶工作流程与mPAGE® Lux对比。相对于传统制胶技术,mPAGE® Lux制胶系统总步骤更少、聚合时间更短、有毒废弃物更少。mPAGE® Lux制胶系统制得的凝胶兼容mPAGE® 小型胶槽和Bio-Rad Mini-PROTEAN电泳槽。为实现非凡的分离度并缩短跑胶时间,请使用mPAGE® 缓冲液。Lux凝胶兼容Bis-Tris适用的缓冲液和染色试剂。

图2. mPAGE® Lux Bis-Tris凝胶和手制tris-甘氨酸凝胶的数据质量对比。mPAGE® Lux Bis-Tris凝胶(左)和手制tris-甘氨酸凝胶(右)的条带质量对比。两种凝胶都是10%丙烯酰胺,上样A431人类细胞裂解物滴定液。电泳运行时间200V 下为 42 分钟(Lux 凝胶),120V 下为119分钟(tris-甘氨酸凝胶)。凝胶采用ReadyBlue™考马斯凝胶染色剂染色。

图3. 湿法、快速和半干法转印方法蛋白质印迹对比。对比采用12% mPAGE® Lux Bis-Tris凝胶,上样A431人细胞裂解物滴定液,通过各种转印方法转印到Immobilon® -P膜上。使用抗EGFR和抗ErK1/2 抗体转印膜,然后使用Immobilon® ECL Ultra Western HRP底物进行检测。Turbo 方法 = 使用Bio-Rad Trans-Blot® Turbo™转印系统和Trans-Blot® Turbo™转印套装进行转印。

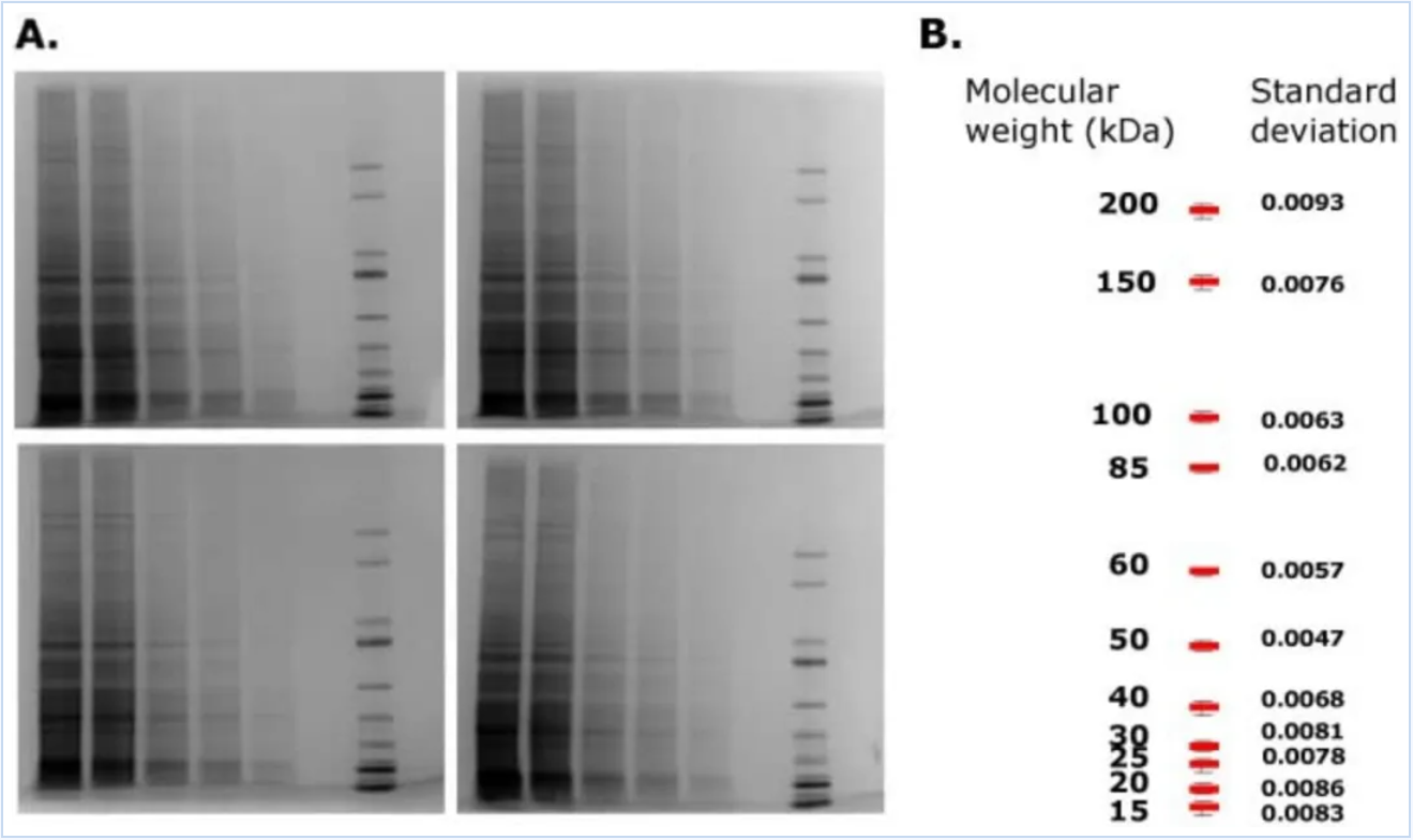
图4. mPAGE® Lux Bis-Tris凝胶的重现性。A. 制备四份8%凝胶并上样A341人细胞裂解物滴定液,随后用ReadyBlue™考马斯凝胶染色剂染色。B. 计算每份凝胶未染色分子量标记的相对迁移距离 (Rf)。揭示每个蛋白质条带的标准偏差。

图5. mPAGE® Lux Bis-Tris试剂保质期分析。mPAGE® Lux Bis-Tris制胶使用试剂(A) 0 个月、(B) 6个月或(C) 12 个月。运行模式或运行时间上未观测到差异。
mPAGE® Lux制胶系统为您提供了创新的制胶工艺解决方案。您无须再在节省时间和节省资源方面作出取舍。全新的制胶系统让研究人员可根据需要轻松快速制备凝胶,同时成本仅相当于预制胶技术的几分之一。通过mPAGE® Lux制胶系统,可提高实验室效率并升级凝胶电泳工作流程。

详情请联系Merck Millipore北京区域授权代理-欣博盛生物
全国服务热线: 4006-800-892 邮箱: market@neobioscience.com
深圳: 0755-26755892 北京: 010-88594029 上海: 021-34613729
广州: 020-87615159 香港: 852-69410778
代理品牌网站: www.neobioscience.com
自主品牌网站: www.neobioscience.net