16 年
手机商铺
公司新闻/正文
223 人阅读发布时间:2024-04-01 10:19

产品介绍
适用于在免疫荧光(IF)或酪胺信号放大(TSA)染色实验中,去除经福尔马林固定、石蜡包埋的组织切片(FFPE)中的抗体以及其他非共价结合的检测试剂。

为什么选择VectaPlex™
◆ 产品为即用型,使用方便,轻松实现从每张组织切片中获取更多生物标记信息;
◆ 在IF免疫荧光染色实验中,使用简单的双色荧光成像仪器和标准的IF检测试剂,即可在单个组织切片中实现同时检测7+个靶标蛋白;
◆ 室温操作, 最-大-程-度保留抗原的完整性和与抗体的亲和力(保留能力>6轮染色);
◆ 对IF或TSA实验中珍贵样本的染色更友好,如肺、皮肤和乳腺等热敏感组织;
◆ 允许使用同一物种来源的一抗和单一物种的二抗进行染色且不会产生交叉反应;
◆ 减少TSA实验过程中对抗原检测顺序的优化步骤
VectaPlex™工作流程
![]() |
![]() |
| VectaPlex™IF工作流程:对样本进行IF染色和成像后,使用VectaPlexTM洗脱检测试剂,为下一轮染色做准备。待所有抗原染色完成后,收集所有图像后进行图像合成。 | VectaPlex™TSA工作流程:对样本进行TSA染色后,使用VectaPlexTM洗脱检测试剂,为下一轮染色做准备。待所有染色完成后进行成像。TSA 信号不会被洗脱。待所有抗原染色完成后,收集所有图像后进行图像合成。 |
应用示例
![]() |
![]() |
| ☝上图为:使用VectaPlex™进行六轮染色后的合成图像。 |
☝上图为:完成3轮TSA染色后的合成图像,每次染色完成后均使用VectaPlex™抗体洗脱试剂。 |
| 样本为胃FFPE: 6种小鼠来源的一抗,分别为CD20 (红色), CD34 (黄色), Desmin (青色), AE1/AE3 (品红), CD3 (灰色), Vimenn (绿色) ,二抗为horse anti-mouse IgG DyLight™ 488。蓝色为DAPI染色。使用Vector® TrueView® 试剂盒用于去除组织自发荧光。 |
样本为扁桃体FFPE: 3种小鼠来源的一抗,分别为CD3 (红色), CD68 (绿色), AE1/AE3 (紫色), 蓝色为DAPI染色。使用Opal 3-Plex TSA试剂盒进行检测。 |
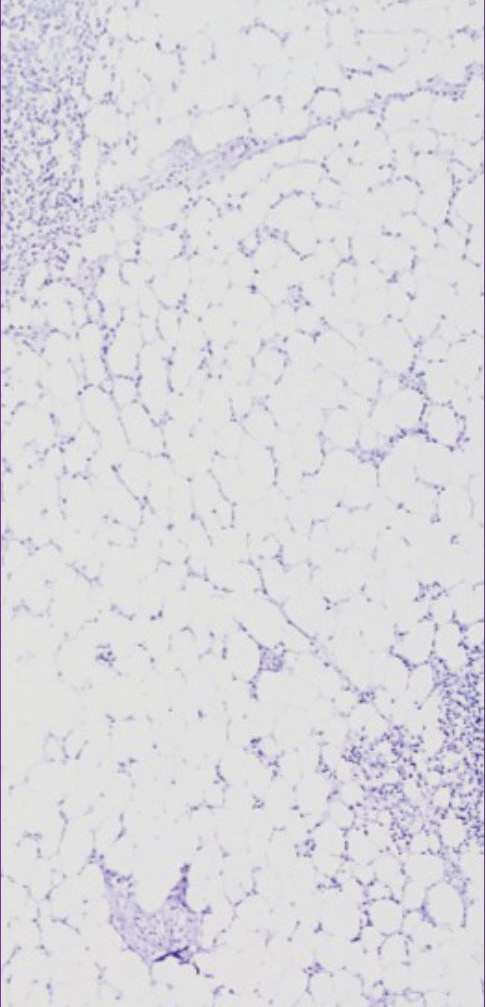
VectaPlex™与微波处理对组织形态影响对比
![]() |
![]() |
![]() |
![]() |
![]() |
| 经六轮微波处理 | 样本:乳腺癌组织(FFPE) 使用苏木-精和伊红染色后进行观察 |
经六轮VectaPlexTM处理 |
* 如上图所示,经多轮处理后,VectaPlexTM 可最-大-程-度保留热敏感组织的形态
产品订购信息
| 产品名称 | 货号 | 规格 | 反应次数 |
| VectaPlex™ Antibody Removal Kit | VRK-1000 | 1 KIT | 125 reactions |
详情请咨询 Vectorlabs总代理商 -欣博盛生物科技
Vector产品经理:15210908061 微信同号
全国服务热线: 4006-800-892 邮箱: market@neobioscience.com
深圳: 0755-26755892 北京: 010-88594029
上海: 021-34613729 广州: 020-87615159
代理品牌网站: www.neobioscience.com
自主品牌网站: www.neobioscience.net