深圳欣博盛生物科技有限公司品牌商

16

手机商铺

qrcode
商家活跃:
产品热度:
  • NaN
  • 0
  • 0
  • 2
  • 2
ENZO ELISA试剂盒第二款半价 !
¥3000 - 8000
品牌商

深圳欣博盛生物科技有限公司

入驻年限:16

  • 联系人:

    欣博盛市场部

  • 所在地区:

    广东 深圳市 福田区

  • 业务范围:

    试剂、技术服务、耗材

  • 经营模式:

    生产厂商 代理商

在线沟通

公司新闻/正文

Enzo Life Sciences试剂盒促销活动——AMPIVIEWTM系列新品限时特惠

345 人阅读发布时间:2023-11-02 10:08

Enzo Life Sciences是研究和诊断市场中标记和检测技术领域公认的领-导-者,可提供蛋白质、抗体、肽、小分子化合物、标记探针染料和试剂盒等产品,为生命科学研究/生物制药提供用于目标识别/验证、高含量分析、基因表达分析、核酸检测、蛋白质生物化学检测以及细胞分析的诸多工具,建立了可观的国际市场认可度。AMPIVIEWTM系列的RNA探针由Enzo Life Sciences独-家设计,经Enzo的LoopRNA ISHTM技术提供动力支持,具有靶向、序列特异性RNA探针的精度,都经过严格的测试,以确保高敏感性和特异性。

 

为迎接第十五届全国免疫学学术大会,欣博盛生物精选Enzo Life Sciences热销系列——AMPIVIEWTM试剂盒,推出限时促销活动,回馈广大客户。

 

订购促销产品即可享受额外8%优惠

促销时间:2023.11.1——2023.12.20

促销代码:SZ23NEW

 

序号

产品名称

产品货号

规格

1

AMPIVIEW POLYVIEW PLUS (anti-r) AP-Red Kit

ENZ-ACC160-0020

ea

2

AMPIVIEW™ Ubiquitin (AS) Dig Probes Set

ENZ-GEN125-2000  

ea

3

AMPIVIEW™ GAPDH (AS) Dig Probes Set

ENZ-GEN127-2000  

ea

4

AMPIVIEW™ Dig Controls Kit (Ubiquitin and NSP)

ENZ-KIT223-0040

ea

5

AMPIVIEW™ Dig Controls Kit (GAPDH and NSP)

ENZ-KIT224-0040

ea

6

AMPIVIEW HPV 6/11 RNA Probes Set

ENZ-GEN145-2000

ea

7

AMPIVIEW HPV 16/18 RNA Probes Set

ENZ-GEN146-2000

ea

8

AMPIVIEW HPV 31/33/51 RNA Probes Set

ENZ-GEN147-2000

ea

9

AMPIVIEW HPV High-Risk RNA Probes Set

ENZ-GEN148-2000

ea

10

AMPIVIEW SARS-CoV-2 RNA Probes Kit

ENZ-GEN158-0020

ea

11

AMPIVIEW SARS-CoV-2 RNA Probes Set

ENZ-GEN159-2000

ea

AMPIVIEWTM Ubiquitin (AS) Dig RNA探针、AMPIVIEWTM GAPDH (AS) Dig RNA探针和AMPIVIEWTM NSP Dig RNA探针均为di高-/辛标记的探针,由Enzo的LoopRNA ISHTM技术提供动力支持,在提供卓越灵敏度的同时,与现有的显色检测方法均可兼容,尤其是与Enzo的DIGX®抗地-/gao辛连接剂以及POLYVIEW®PLUS和HIGHDEF®显色剂搭配使用时,效果更佳。

 

这些探针可被用作杂交/检测的对照,有助于解读样本:

Ø AMPIVIEWTM Ubiquitin (AS) Dig RNA探针和AMPIVIEWTM GAPDH (AS) Dig RNA探针可以用作高&中等表达靶标的阳性对照。

Ø AMPIVIEWTM NSP Dig RNA探针可以用作阴性对照。

 

主要特点:

ü 产品效果卓越:更高的特异性和敏感性,以及更小的背景干扰

ü 实验方案灵活:适用于福尔马林固定的石蜡包埋(FFPE)组织和细胞

ü 产品适应性强:自动化流程和手动操作流程均可使用

 

产品介绍:

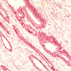
1.泛素(ubiquitin)

泛素是一种存在于所有真核生物(大部分真核细胞)中的调节蛋白,它的主要功能是标记需要分解掉的蛋白质,使其被26S蛋白酶体降解。泛素由76个氨基酸组成,具有高度保守性,在所有生物中都几乎相同,非常适合用作阳性对照。

· ENZ-GEN125-2000 AMPIVIEWTM Ubiquitin (AS) Dig RNA Probes Set

新闻图片1

用AMPIVIEWTM Ubiquitin (AS) Dig RNA探针、DIGX®抗di高-/辛连接剂、POLYVIEW®PLUS AP检测试剂联合HIGHDEF®red AP IHC显色剂和HIGHDEF®苏-木-精复染,检测前列腺组织中的泛素(红色)。

 

2.甘油醛-3-磷酸脱氢酶(glyceraldehyde-3-phosphate dehydrogenase, GAPDH)

GAPDH是糖酵解反应中的一个关键调控酶,该酶基因为管家(house keeping)基因,几乎在所有组织中都高水平表达,且在同种细胞或者组织中的蛋白质表达量一般是恒定的,故被广泛用作抽提total RNA,poly(A)+ RNA,Western blot等实验操作的标准化的内参。

· ENZ-GEN127-2000 AMPIVIEWTM GAPDH (AS) Dig RNA Probes Set

新闻图片2

用AMPIVIEWTM GAPDH (AS) Dig RNA探针、DIGX®抗di高-/辛连接剂、POLYVIEW®PLUS AP(抗兔)检测试剂联合HIGHDEF®red AP IHC显色剂和HIGHDEF®苏-木-精复染,检测前列腺组织中的GAPDH(红色)。

 

3.NSP

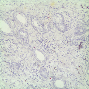
AMPIVIEWTM NSP Dig RNA探针是专门设计的非特异性序列,用作阴性对照。

· ENZ-KIT223-0040 AMPIVIEWTM Ubiquitin and NSP Dig Controls Kit

· ENZ-KIT224-0040 AMPIVIEWTM GAPDH and NSP Dig Controls Kit

新闻图片3

用AMPIVIEWTM NSP Dig RNA探针、DIGX®抗地-/gao辛连接剂、POLYVIEW®PLUS AP检测试剂联合HIGHDEF®red AP IHC显色剂和HIGHDEF®苏木-精复染,在前列腺组织中未检测到信号。

 

详情请咨询Enzo Life Sciences金牌代理——欣博盛生物

全国服务热线: 4006-800-892       邮箱: market@neobioscience.com 

深圳: 0755-26755892         北京: 010-88594029            

广州:020-87615159           上海: 021-34613729

代理品牌网站: www.neobioscience.com 

自主品牌网站: www.neobioscience.net

上一篇

Epicypher热销产品——SNAP-ChIP® K-MetStat Panel

下一篇

我的样本可以用于CUT&RUN吗? 四大因素需考量

更多资讯

我的询价