16 年
手机商铺
公司新闻/正文
1125 人阅读发布时间:2024-02-02 10:32
→ 产品简介
VectaMount®Express Mounting Medium为非水溶性封片剂,可用于免疫组化实验中细胞和组织样本的快速固定及封片。该产品采用独特的配方,染色流程结束后,在异丙醇中简单清洗一下,即可进行封片。
封片前无需繁琐的乙醇脱水和溶剂清洗步骤,大大节省了实验时间。
→ 产品特点
● 无需大量的乙醇和其他溶剂的清洗;
● 可用于染色样本的快速干燥及可视化观察;
室温下保存18个月;
● 与辣根过氧化物酶HRP和碱性磷酸酶AP底物相兼容;
● 折射率为1.49
→ 产品使用
传统染色-封片流程

使用VectaMount®Express染色-封片流程

→ 产品五大优势
![]() | 省时:将15-30min的清洗操作缩短为2min; |
![]() | 经济节约:大大减少乙醇和xylene的花费成本; |
![]() | 方便快捷:大大简化了封片流程,可直接封片观察; |
![]() | 操作简便:即用型试剂,直接滴加即可; |
![]() | 无害、可持续操作:避免xylene对实验人员的伤害,无毒无害。 |
→ 与HRP/AP底物的兼容性
| H-5700 | H-5000 | H-5501 | |||
| Substrate | Cat. No | VectaMount Express Mounting Medium (Non-Aqueous) | VectaMount Permanent Mounting Medium (Non-Aqueous) | VectaMount AQ Aqueous Mounting Medium | |
| Horseradish Peroxidase (HRP) | |||||
![]() | ImmPACT® DAB (brown) | SK-4105 | • | • | • |
![]() | ImmPACT DAB EqV (brown) | SK-4103 | • | • | • |
![]() | DAB (brown) | SK-4100 | • | • | • |
![]() | DAB-Ni (gray-black) | SK-4100 | • | • | |
![]() | ImmPACT AEC (red) | SK-4205 | • | ||
![]() | ImmPACT AMEC Red (red) | SK-4285 | • | ||
![]() | AEC (red) | SK-4200 | • | ||
![]() | TMB (blue) | SK-4400 | • | ||
![]() | ImmPACT VIP (purple) | SK-4605 | • | • | |
![]() | Vector® VIP (purple) | SK-4600 | • | • | |
![]() | ImmPACT SG (blue-gray) | SK-4705 | • | • | • |
![]() | Vector SG (blue-gray) | SK-4700 | • | • | • |
![]() | ImmPACT NovaRED® (red) | SK-4805 | • | • | |
![]() | Vector NovaRED (red) | SK-4800 | • | • | |
| Alkaline Phosphatase (AP) | |||||
![]() | ImmPACT Vector Red (magenta) | SK-5105 | • | • | • |
![]() | Vector Red (magenta) | SK-5100 | • | • | • |
![]() | Vector Black (brown-black) | SK-5200 | • | ||
![]() | Vector Blue (blue) | SK-5300 | • | • | |
![]() | BCIP/NBT (indigo) | SK-5400 | • | • | • |
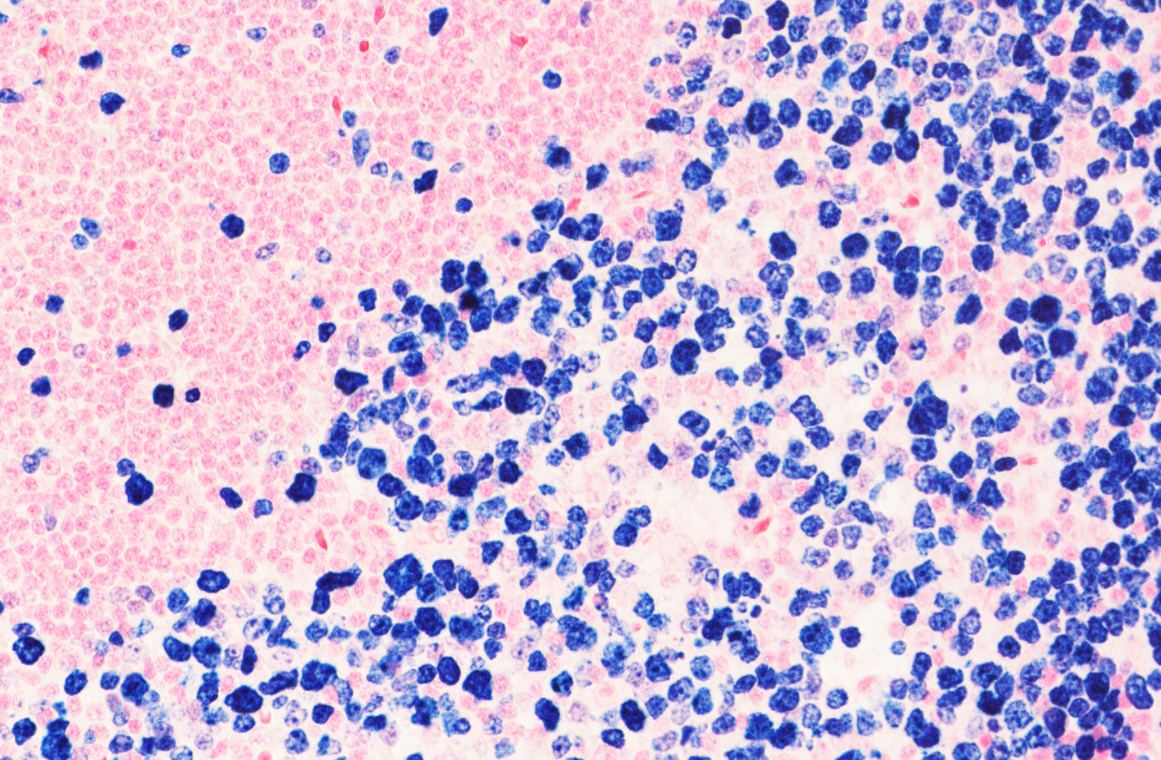
→ 产品应用举例
![]() | ![]() |
| 上图为人结肠组织染色结果:使用Mouse Anti-Ki67, ImmPRESS®-HRP Anti-Mouse IgG, ImmPACT® DAB EqV 以及 Rabbit Anti-Cytokeratin ImmPRESS-AP Anti-Rabbit IgG进行双染,封片剂 为VectaMount Express Mounting | 上图为人扁桃体组织染色结果:使用 Mouse Anti-Ki67, ImmPRESS-AP Anti-Mouse IgG,进行单染, Vector Blue显色; Nuclear Fast Red counterstain复染。.封片剂为VectaMount Express Mounting Media |
→ 产品订购信息
| 产品 | 货号 | 规格 | 染色片数 | 性质 |
| VectaMount® Express Mounting Medium | H-5700 | 60ml | >1200张 | 非水溶性 |
详情请咨询 Vectorlabs Exclusive agent in China - 欣博盛生物科技
Vector 品牌经理:15210908061(微信同号)
全国服务热线: 4006-800-892 邮箱: market@neobioscience.com
深圳: 0755-26755892 北京: 010-88594029 上海: 021-34613729
广州:18024516375 香港: 852-69410778
代理品牌网站: www.nbs-bio.com
自主品牌网站: www.neobioscience.net